What Are Benign & Malignant Tumors?
A tumor is a lump or mass of tissue that forms when cells divide uncontrollably. A growing tumor may replace healthy tissue with abnormal tissue. It may also weaken the bone, causing it to fracture. The cause of most bone tumors is unknown. Occasionally, infection, stress fractures, and other non-tumor conditions can closely resemble tumors.
Benign bone tumors are non-cancerous and not typically life-threatening. There are many types of benign bone tumors. The most common types include non-ossifying fibroma, unicameral (simple) bone cysts, osteochondroma, giant cell tumors, enchondroma, and fibrous dysplasia.
Malignant tumors are cancerous and can spread cancer cells throughout one’s body through the blood or lymphatic system, a process known as metastasis.
Cancer that begins in bone is called primary bone cancer. Cancer that starts somewhere else in the body and spreads to the bone is known as secondary bone cancer. The four most common types of primary bone cancer are:
- Multiple Myeloma – A malignant tumor of bone marrow, which is the most common form of primary bone cancer. It affects approximately 20 out of one million people per year. Most cases are seen in patients 50-70 years of age. Any bone can be involved.
- Osteosarcoma – The second-most common bone cancer. It occurs in 2-3 people per million annually. Most of these tumors occur around the knee and are found in teenagers. Other common locations include the hip and shoulder.
- Ewing’s Sarcoma – Commonly occurs in people 5-20 years of age. The most common locations are the upper and lower leg, pelvis, upper arm, and ribs.
- Chondrosarcoma – Occurs most commonly in patients 40-70 years of age. Most cases occur around the hip, pelvis, or shoulder.
Symptoms
Most patients with a bone tumor will experience pain in the area of the tumor. The pain is generally described as dull and achy. It may or may not get worse with activity. The pain often awakens the patient at night.
Although tumors are not caused by trauma, occasionally, injury can cause a tumor to begin hurting. Injury can cause a bone weakened by a tumor to break, leading to severe pain. Some tumors can also cause fevers and night sweats.
Many patients will not experience any symptoms but notice a painless mass instead.
Diagnosis
If you suspect that you might have a bone tumor, see your doctor as soon as possible for diagnosis and treatment.
The doctor will collect detailed information about your medical history. Be sure to include any medications you take, any history of tumors or cancers you or your family members may have, and the symptoms you are experiencing.
Your doctor will also perform a physical exam. The focus is on the tumor mass, tenderness in the bone, and any impact on your joints and range of motion. The doctor may want to examine other parts of your body to rule out the spread of any cancer.
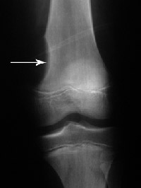
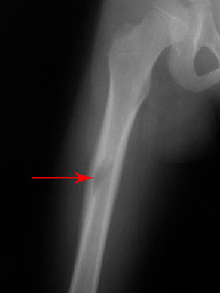
Your doctor will probably obtain X-rays for further information. Each type of tumor can exhibit different characteristics on X-ray. Some dissolve bone or make a hole in the bone. Some cause an extra formation of bone. Some can result in a mixture of these findings. In other cases, it may be difficult to tell what kind of tumor is involved, and additional imaging studies such as MRI (magnetic resonance imaging) or CT (computed tomography) could be called for.



