Skip to Main Content
Learn More About UConn Health in Waterbury and How to Get UCONNected
Aetna and UConn Health Reach Agreement

Orthopedics & Sports Medicine

Paget’s Disease of Bone

What Is Paget’s Disease?

Paget’s disease of bone is a chronic disease of the skeleton. It appears most often in the spine, pelvis, skull, and limbs' long bones. It can be present in just one bone or several bones. It can affect the entire bone or just part of it.

It is a common disease in older people, occurring in 3-4 percent of the population over age 50. It is slightly more common in men, than women.

In normal bone, a process called remodeling takes place every day. Bone is absorbed and then reformed in response to the normal stresses on the skeleton.

  • Osteoclasts are the cells of the bone that absorb bone.
  • Osteoblasts are the cells of the bone that make new bone.

In Paget’s disease, osteoclasts are more active than osteoblasts, so there is more bone absorption than usual. The osteoblasts try to keep up by making new bone, but they overreact and make excess bone, which is very chaotic. The new bone is abnormally large, deformed, and fits together haphazardly. Normal bone has a tight, overlapping structure like a well-constructed brick wall. Bones afflicted by Paget’s disease have an irregular mosaic pattern, as though the bricks had just been dumped in place. The result is large and dense bones, but weak and brittle. The bone is prone to fractures, bowing, and deformities.

Pelvis


Figure 4: Paget's disease of the pelvis. The bone is thick, wide and patchy.

Paget’s disease of the pelvis. The bone is thick, wide, and patchy.

Spine


Figure 3: Paget's disease of the spine. The white, patchy appearance of the bone on this X-ray is characteristic of the dense but disordered bone in this disease.

Paget’s disease of the spine. The white, patchy appearance of the bone is characteristic of the dense but disordered bone in this disease.

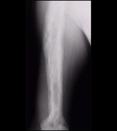
Humerus


Figure 5: Paget's disease of the humerus. Note how dense and wide the bone is. It is also patchy from areas of active bone turnover.

Paget’s disease of the humerus. The bone is dense, wide, and patchy, whereas the active bone is turning over.

 

Symptoms

People with Paget’s disease often experience no symptoms at all. A doctor may notice Paget’s disease on an X-ray taken for another reason or during routine blood work when an elevated serum alkaline phosphatase level is found. For patients who do have symptoms, bone pain is the most common complaint. This pain can be related to active Paget’s disease or its complications, which include:

  • Fractures of brittle bone
  • Deformity of bone
  • Advanced arthritis of joints near the affected bone
  • Loss of sensation or movement caused by compression of nerves near enlarged bones

Fatigue, weakness, loss of appetite, abdominal pain, and constipation are symptoms of a rare complication where elevated calcium levels are found in the bloodstream. This occurs when Paget’s disease is active in several bones and overactive osteoclasts release calcium from the bone that makes its way into the blood.

When pain is severe and unrelenting in an area affected by Paget’s disease, the disease may have degenerated into bone cancer. Paget's sarcoma occurs in only about 1 percent of patients with Paget’s disease. These patients are usually older than 70 years of age. This type of malignant bone tumor is very aggressive and carries a poor prognosis. None of the medical treatments for Paget’s disease have affected the risk for the development of Paget's sarcoma.

Diagnosis

Your doctor can usually diagnose Paget’s disease by looking at an X-ray. The affected bone appears larger and more dense than usual. It can also have a deformed shape. In the very early stages of Paget's disease, when there is just overactive absorption, it can look like a hole in the bone. Later in the disease process, this darker area can take the shape of a V, with denser, thicker bone following behind it.

Your doctor may use bone scans to determine if more than one bone is involved. In this test, a radioactive material is injected into your vein to travel throughout the body. A special camera is then used to look for “hot spots” with more bone turnover than usual.

A biopsy of the bone is sometimes necessary to confirm the diagnosis of Paget's disease. These biopsies are done with a needle or performed in the operating room through small incisions.

A blood test called serum alkaline phosphatase and urine tests can also be used to confirm the diagnosis of Paget’s disease.

Paget’s Disease Treatments

Medical treatments can help decrease the symptoms of Paget’s disease, but there is no known way to reverse the effects on the bone.

If you aren’t experiencing symptoms, your doctor may only call for observation. Periodic X-rays may be recommended to watch for any changes.

If you are experiencing mild pain, nonsteroidal anti-inflammatories (NSAIDs) and aspirin can be very helpful. When the pelvis or leg is involved, a cane can decrease pain by reducing the forces impacting the bone. A cane can also help prevent falls, reducing fracture risk. Braces may be used to prevent malalignment of the bones.

When bone pain is more severe, medications called bisphosphonates are the treatment of choice. These drugs block osteoclasts and can be very effective in treating Paget's disease. Several types of bisphosphonates are taken orally or by injection. While using these medications, your alkaline phosphatase level should steadily decline, along with bone pain. Your levels should be checked periodically.

Surgery is primarily used to treat the complications of Paget’s disease. You may need surgery if you have a fracture, badly aligned bone, or severe arthritis. You may also require surgery if enlarged bone compresses nerves, especially in the spine or skull. Because Paget's disease increases the blood supply to your bones, your doctor may recommend bisphosphonates before the surgery to reduce potential blood loss. Bones affected by Paget’s disease may take longer to heal than normal bones. Longer rehabilitation than usual may be necessary.

In the rare cases of Paget's sarcoma, surgery is almost always used to try to remove the tumor entirely. Chemotherapy and radiation therapy may also be used.

Research on the Horizon

Scientists are investigating the genes that may be involved with Paget’s disease. This work could enable doctors to predict who may be at risk for the disease, leading to new therapies to treat it. Eventually, doctors hope to reverse the effects on the bone instead of just slowing the effects.

Reproduced with permission Fischer S., (interim ed): Your Orthopaedic Connection. Rosemont, Illinois. Copyright American Academy of Orthopaedic Surgeons.

Related Topics

Orthopedics & Sports Medicine

Want to Make an Appointment?